728x90
반응형

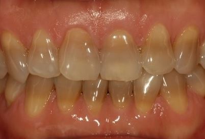
치아 착색의 원인과 해결
치아 착색의 원인은 여러 가지로 나눌 수 있으며, 외부 요인과 내부 요인으로 구분됩니다. 각각의 요인에 따라 착색의 정도와 해결 방법이 달라질 수 있습니다.
1. 외부 요인에 의한 착색
외부 착색은 치아 표면에 있는 외부 물질에 의해 발생합니다. 주로 음식, 음료, 습관이 큰 영향을 미칩니다.
- 커피, 차, 와인: 이러한 음료는 다량의 색소를 함유하고 있어 치아 표면에 색소가 침착될 수 있습니다.
- 담배: 흡연은 니코틴과 타르 성분 때문에 치아를 노랗게 또는 갈색으로 변색시킵니다.
- 음식: 커리, 간장, 베리류와 같은 강한 색을 가진 음식들도 치아 착색을 유발할 수 있습니다.
- 구강 위생 불량: 정기적인 칫솔질, 치실 사용 등이 부족하면 플라크와 치석이 축적되어 치아 착색이 더 심해집니다.
해결방법
- 정기적인 칫솔질: 올바른 칫솔질과 치실 사용을 통해 색소가 치아에 축적되는 것을 방지할 수 있습니다.
- 스케일링: 치과에서 전문적인 스케일링을 통해 치아 표면의 착색 물질을 제거할 수 있습니다.
- 미백 치약: 미백 효과가 있는 치약을 사용하면 약한 착색을 완화할 수 있습니다.
- 미백 치료: 치과에서 전문적인 미백 치료를 받으면 심한 외부 착색도 제거할 수 있습니다.
2. 내부 요인에 의한 착색
내부 착색은 치아 내부에서 발생하는 변색을 의미합니다.
- 나이: 나이가 들면서 치아의 법랑질이 얇아지고, 그 아래에 있는 상아질이 드러나면서 치아가 점점 노래집니다.
- 항생제 사용: 어린 시절에 테트라사이클린과 같은 특정 항생제를 복용한 경우, 치아가 회색 또는 갈색으로 변색될 수 있습니다.

- 충격: 치아가 외부 충격을 받으면 신경이 손상되면서 치아가 검게 변할 수 있습니다.
- 과도한 불소: 어린 시절에 불소를 과다하게 섭취하면 치아에 백색 반점이나 갈색 착색이 생길 수 있습니다.
해결방법
- 치아 미백: 내부 착색도 미백 치료를 통해 어느 정도 개선할 수 있지만, 외부 착색보다는 어려울 수 있습니다.
- 라미네이트: 치아 표면에 얇은 세라믹을 부착하는 라미네이트는 내부 착색을 완전히 덮어버리는 방법입니다.
- 크라운: 심한 착색이 있는 경우 크라운(치관)을 씌워 변색된 부분을 완전히 감출 수 있습니다.
정기적인 구강 관리와 주기적인 치과 검진을 통해 치아 착색을 예방하고 관리하는 것이 중요합니다.
728x90
반응형
'건강정보' 카테고리의 다른 글
| 청소년기 피부 관리: 여드름, 피지, 모공, 블랙헤드 해결 방법 (17) | 2024.09.26 |
|---|---|
| 치아 파절(금이 간 치아) 대비 명절 연휴 음식 섭취 시 주의 (1) | 2024.09.15 |
| 탈모예방을 위한 모근관리 방법 (1) | 2024.09.09 |
| 노안의 원인 및 치료 방법과 관리 방법 (0) | 2024.08.21 |
| 성장기 어린이의 운동의 필요성과 도움이 되는 운동 (0) | 2024.08.15 |